-
什么是高压电缆绝缘层涂抹硅脂?
高压电缆 绝缘层是电缆中非常重要的组成部分,其作用是隔离电流,使电缆不会漏电或短路。在高压电缆制造过程中,通常会在绝缘层表面涂上一层硅脂,以提高其绝缘性能。 高压电...更多 -
滤线栅焦距越大对比度越大吗
滤线栅 的主要功能是减少或消除在X射线摄影过程中产生的散射线,从而提高影像的清晰度和对比度。那么焦距越大对比度越大吗?让小编和大家一起了解一下。 滤线栅焦距是指焦斑到...更多 -
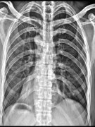
伪影在医学上是什么意思
在医学上,伪影是指原本被扫描物体并不存在而在图像上却出现的各种形态的影像。 伪影在医学影像学中有多种表现形式。在 X光影像 中,伪影可能表现为高密度的斑点或线条,这些并...更多 -
X射线电视系统与荧光屏透视相比的优点
X射线电视系统 在医疗领域相较于传统的荧光屏透视展现出了显著的优势: 1. 辐射剂量大幅减少:X射线电视系统显著降低了医生与患者的受照剂量,确保了医疗过程的安全与健康。 2...更多 -
非晶硅转换型平板探测器的技术特点
1. 高分辨率: 非晶硅转换型平板探测器 采用大面积、高密度的光电二极管阵列,能够实现高分辨率的医学影像成像,使得医生能够更清晰地观察病变部位。 2. 宽动态范围:非晶硅材料...更多 -
高频X线机的使用组成及特点
主要部件有控制台,高压发生器和X线管。 特点:管电压波形稳定、曝光时间短、患者剂量低、精度高;采用微处理器控制,大大提高了曝光的重复性,具有自诊断、报警、报错和自保护功...更多 -
医疗X光机设备的报废年限是多少年
最近后台经常收到小伙伴的提问, 医疗的 X光机 设备报废年限是多少年,如何规定的?接下来小编来和大家一起了解一下。 一般原则上医院会根据财政部发布的《医院财务制度》其中...更多 -
X光机的常用附件有哪些?
X光机作为一种重要的医疗诊断设备,广泛应用于医院、诊所及科研机构。在使用X光机的过程中,除了其核心部件外,各类附件也起到了至关重要的作用。本文将详细介绍 X光机的常用附...更多 -
DR平板探测器为什么需要校准
DR平板探测器 是医学影像诊断中常用的一种设备,它能够快速、高效地获取X射线图像,并且具有较高的分辨率和对比度。为了确保其准确性和稳定性,DR平板探测器需要定期进行校准。...更多 -
哪些因素可以影响x射线图像的质量
X射线 是一种常用的医疗影像技术,它能够帮助医生诊断和治疗各种疾病。然而,X射线图像的质量对于准确诊断和治疗至关重要。许多因素可以影响X射线图像的质量,以下是一些可能的...更多 -
X光机电流过载有哪些原因
X光机电流过载的主要原因包括机械负荷过大、部分电气故障、环境温度影响、电网电压异常和损坏的电路和部件。 机械负荷过大:伺服电机机械负荷过大时,需要输出更多的扭矩,加速...更多 -
DR图像出现伪影问题时平板探测器如何校准
平板探测器 是DR设备中的核心部件,其稳定性直接关系到医生对拍片结果诊断的准确性。如果在检查过程中遭遇图像伪影的困扰,如线状伪影、滤线栅伪影等可能影响诊断的问题,首先...更多 -
限束器和准直器的区别
遮线器 X线机上的遮线器又叫 限束器 ,安装在X线管组件窗口,控制X线显示合适照射野,用于屏蔽不必要的原发射线,使病人的受照射面积减到最少。 (二)准直器 位于X线管套窗口前...更多 -
X线是如何形成的呢?
X射线是一种无形的电磁辐射,它可以穿透物体并在 X光机 上形成影像。X光机是一种医疗设备,它能够产生和捕捉X射线,帮助医生诊断疾病和创伤。那么,X射线是如何形成的呢? X射线...更多 -
高压电缆外皮破损影响使用吗
高压电缆 外皮破损确实会影响使用。外皮的主要作用是保护电缆,防止其受到外部环境的影响,如水分侵入、物理损伤等。一旦外皮破损,电缆的绝缘层就少了一层保护,容易受到破坏...更多 -
新品便携式X光机到货啦
该款设备是一款集多功能于一体的便携式X光机,包括一个5kW的X射线电源装置。体积小巧,重量轻,功率密度高,适合各种便携式X射线应用。 产品特点: 1、小巧轻便的设计,可以轻松...更多 -
如何区分CR拍片机和DR拍片机
近有客户咨询DR拍片机和CR拍片机的区别,下面就来给客户简单的介绍 下。DR拍片机(DigitalRadiography),数字化X线摄影,系统由数字影像采集板专用滤线器BUCKY数字图像获取控制X线摄...更多 -
什么是X线照片噪声
在医学影像中, X线照片 噪声是指影响图像质量,导致图像细节模糊、对比度降低、甚至产生伪影的各种随机干扰因素。 在X线成像过程中,X射线与人体组织相互作用,产生信号并转化...更多 -
为什么X线机曝光按钮要设计成两档
为什么DR需要使用两档曝光呢?首先让我们来解释一下 X射线曝光手闸 。通过结构来分析不同X射线曝光手闸的工作原理。单挡X射线曝光手闸内部只有一对常开开关,用来控制一个电路的...更多 -
X光机会自动曝光吗
X光机 不支持自动曝光。只能由操作人员或技师手动进行曝光,不可进行连续曝光或随意曝光,每次只能生成一个图像,之后根据需要选择保存或丢弃,若不需要则需放弃,再进行下一...更多
