始于1999年

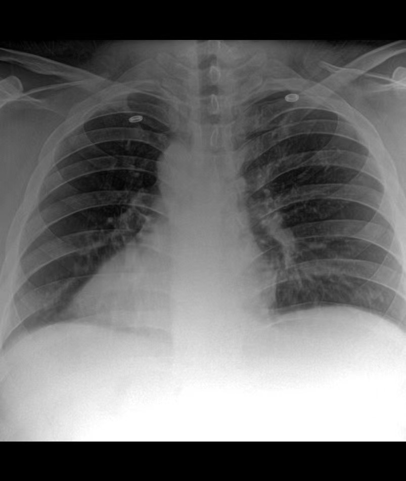
x光机剂量大了图像是发白还是发黑?

       移动式DR拍片设备
       X光机剂量大了是发白还是发黑?是这样的,以拍摄胸片为例。如果是拍摄胸片时,X射线的剂量大,拍摄出的图像是会透过去的那种,也就是大家说的发黑。如果是拍摄胸片架,X射线的剂量小,X射线无法穿透拍摄的胸部,图像会发白。

       简单给大家看下不同剂量下的胸片X线图像:
X光机成像效果图

       我司目前销售的X光机有多种型号,如果您有需求欢迎联系我司客服,热线电话18953679166。